Caso de cirugia exitosa
- 25 ene 2023
- 1 Min. de lectura
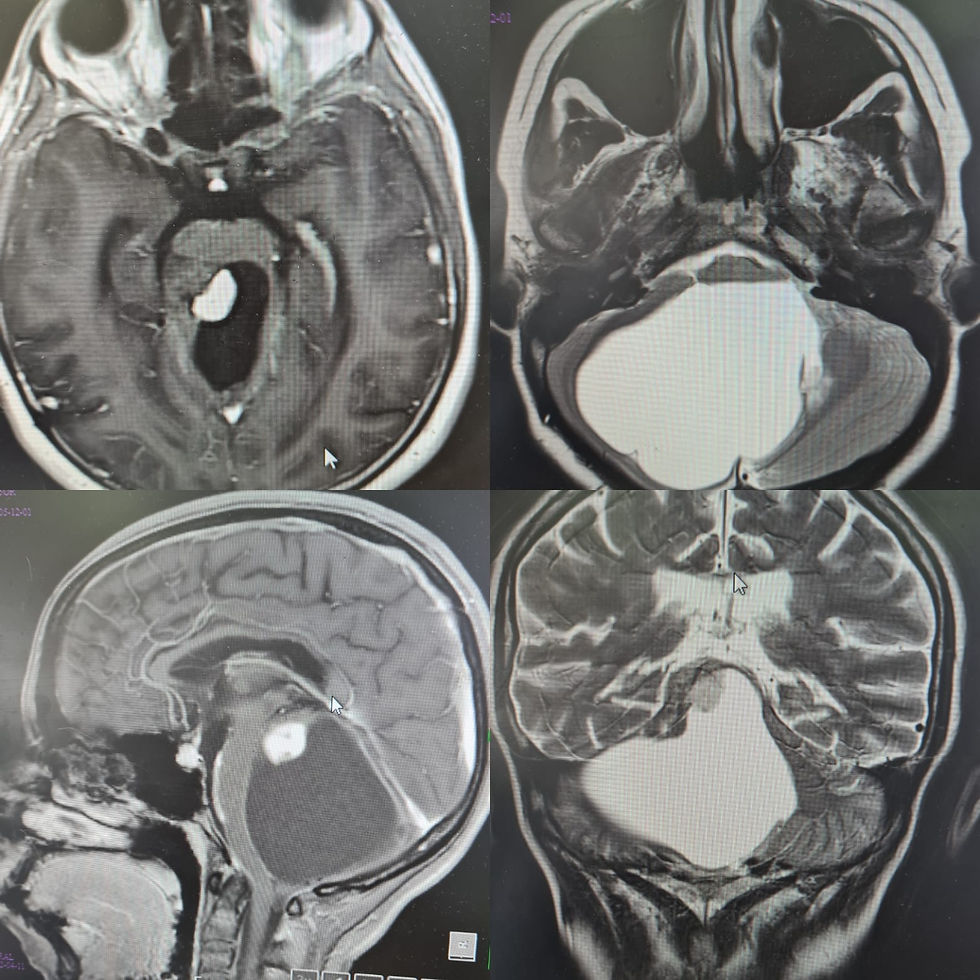
Femenino de 16 años con lesión en fosa posterior, compatible con lesión glial de bajo grado, que ocasionó síndrome cerebeloso. Se realizó drenaje de la porción quística y resección de la porción sólida pegada al tallo cerebral. En el postquirúrgico paciente despierta y sin déficit neurológico agregado.








Comentarios